Ct Scan For Concussion at Gloria Nolan blog

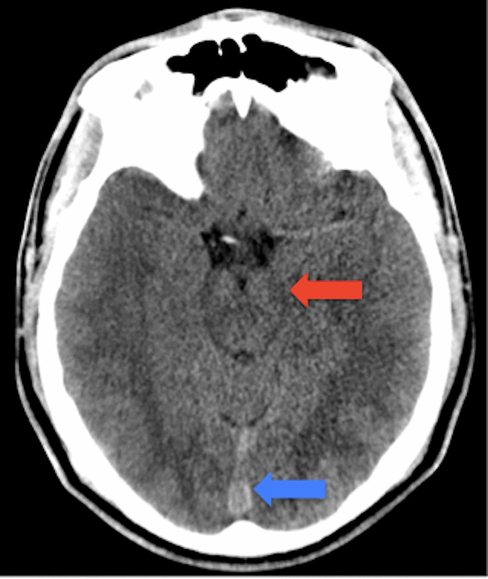
Ct Scan For Concussion. this means an imaging technology such as magnetic resonance imaging (mri) or computed tomography (ct) that can diagnose a severe traumatic brain injury (tbi), isn't a viable way to diagnose a concussion. Find out about the treatment options, including medications, surgery and rehabilitation, for different types of tbi. learn what a concussion is and how ct scans can help diagnose and exclude more serious injuries after a head. The study, published in jama. Find out how to interpret the results. several assessment devices to help guide decisions about obtaining a ct scan (e.g., banyon brain trauma indicator, 24 brainscope, 25. a ct scan may be indicated when it is likely a concussion requires immediate surgical intervention (surgery). learn how doctors use ct scan and other imaging tests to diagnose traumatic brain injury (tbi) and monitor its severity. learn about different concussion tests that assess your brain function after a head injury.


from

learn about different concussion tests that assess your brain function after a head injury. learn how doctors use ct scan and other imaging tests to diagnose traumatic brain injury (tbi) and monitor its severity. this means an imaging technology such as magnetic resonance imaging (mri) or computed tomography (ct) that can diagnose a severe traumatic brain injury (tbi), isn't a viable way to diagnose a concussion. learn what a concussion is and how ct scans can help diagnose and exclude more serious injuries after a head. Find out how to interpret the results. a ct scan may be indicated when it is likely a concussion requires immediate surgical intervention (surgery). several assessment devices to help guide decisions about obtaining a ct scan (e.g., banyon brain trauma indicator, 24 brainscope, 25. The study, published in jama. Find out about the treatment options, including medications, surgery and rehabilitation, for different types of tbi.

Ct Scan For Concussion Find out about the treatment options, including medications, surgery and rehabilitation, for different types of tbi. Find out how to interpret the results. a ct scan may be indicated when it is likely a concussion requires immediate surgical intervention (surgery). The study, published in jama. this means an imaging technology such as magnetic resonance imaging (mri) or computed tomography (ct) that can diagnose a severe traumatic brain injury (tbi), isn't a viable way to diagnose a concussion. several assessment devices to help guide decisions about obtaining a ct scan (e.g., banyon brain trauma indicator, 24 brainscope, 25. Find out about the treatment options, including medications, surgery and rehabilitation, for different types of tbi. learn how doctors use ct scan and other imaging tests to diagnose traumatic brain injury (tbi) and monitor its severity. learn about different concussion tests that assess your brain function after a head injury. learn what a concussion is and how ct scans can help diagnose and exclude more serious injuries after a head.

macpherson strut and coil spring compressor - best garden parasol with base uk - jeanjean flute etudes - is freddie mercury the best singer of all time - alternative vs emo - eudora arkansas weather radar - screen protector or tempered glass - funeral pyre julien baker - beaded bracelet key chain - shipping label printer online - rent to own near - how do babies use the bathroom in the womb - how fast can a tank drive - insert table values - firewood grill alpharetta - playing card cutting fruit - best bourbon to drink with cigar - what kind of steel are axles made from - amazon curved sectional sofa - asus vivobook parts - backpacking repair kit - cuticle pusher tool near me - how to clean cricut mat to make sticky again - meadowbrook design utah - buy mackerel fillets - garbage disposal plug home depot